• BIST 100

    15173,95%0,35
  • DOLAR

    43,19% 0,04
  • EURO

    50,24% -0,12
  • GRAM ALTIN

    6371,95% -0,90
  • Ç. ALTIN

    10334,11% -0,35

Dalak damarında 7 santim baloncuk oluşan 75 yaşındaki hasta sağlığına kavuştu

24 Temmuz 2024, Çarşamba 15:16
24 Temmuz 2024, Çarşamba 15:16
Dalak damarında 7 santim baloncuk oluşan 75 yaşındaki hasta sağlığına kavuştu
  • Dinle
  • A+
    Buyut
  • A-
    Kucult

Dalak damarında 7 santim baloncuk oluşan 75 yaşındaki hasta sağlığına kavuştu

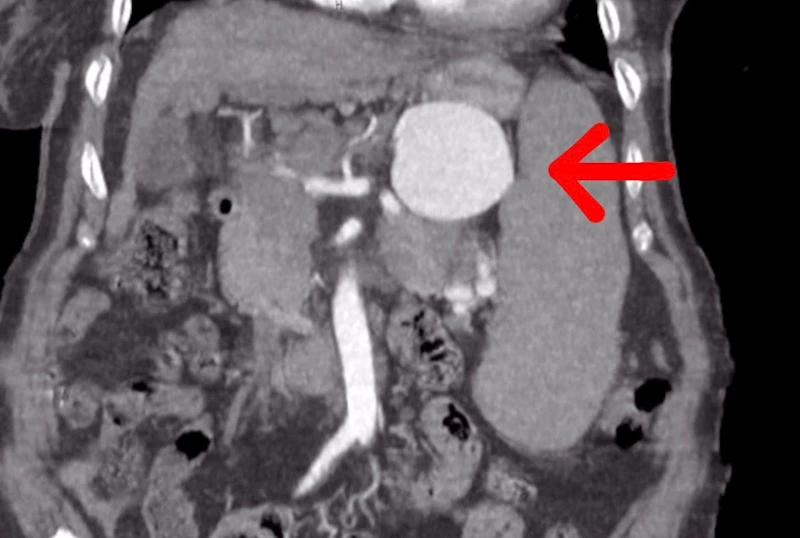
Şırnak’ta, Kalp ve Damar Cerrahisi Uzmanı Op. Dr. Volkan Burak Taban ve Genel Cerrahi Uzmanı Op. Dr. Serhat Binici, dalak arterinde oluşan 7 santimlik baloncuğu yaptıkları riskli ameliyatı başarı ile tamamlayarak 75 yaşındaki ve kronik birçok hastalığı olan Ayşe Ertur’u sağlığına kavuşturdu.
Mardin, Diyarbakır, Batman, Siirt, Gaziantep ve Şanlıurfa gibi birçok hastanede dalağının alınması gerektiği ancak dalağının alınması halinde de ameliyat masasından kalkamayacağı söylenen 75 yaşındaki Ayşe Ertur, birçok kronik rahatsızlığına rağmen Şırnak Devlet Hastanesi’nde geçirdiği başarılı ameliyat ile sağlığına kavuştu.
Yapılan ameliyat ile ilgili gazetecilere açıklamalarda bulunan Op. Dr. Volkan Burak Taban, hastanın gastroenteroloji kliniğinden kendilerine geldiğini, dalak arterinde ciddi bir anerizma şüphesinden bahsedildiğini söyledi. Değerlendirmeler sonrası ilaç tetkikleri istediklerini belirten Dr. Taban, "Yapılan tomografide teyzemizde dalak arterinde oldukça geniş dev diyebileceğimiz anerizmanın yani baloncuklaşmanın olduğunu gördük. Normalde dalak anerizması diyebilmemiz için baloncuklaşma diyebilmemiz için 20 milim yani 2 santimin üstüne çıkması lazım. Ama gördüğümüzde bizde şaşırdık. Çünkü yaklaşık 7 santimi geçen bir dalak anerizması vardı. Hastanın bu anerizmanın içerisinde tamamen kan dolduğu için her an patlama riski vardı. Allah korusun hastanın hayatını kaybetme riski ile de karşı karşıyaydık. Hasta ile ilgili hemen multidisipliner olarak bir değerlendirme yaptık. Hem gastroenteroloji, hem genel cerrahiden Serhat hocamız, hem radyoloji kliniğimiz ile beraber değerlendirme yaptık. Hastamızın 15 yıldır mücadele verdiği bir karaciğer sirozu da bizim kararlarımızda etkili oldu” dedi.

“Hasta Şırnak’ta tedavi olmak istedi”
75 yaşındaki hastanın Şırnak’ta ameliyat edilmesinin riskli olduğunu ve bu durumu hem hastaya hem de hasta yakınlarına söylediklerini aktaran Dr. Taban, "Hastamız ve yakınları yıllardır hastanemizde tedavi olmak istediler. Bizde hastamıza açık cerrahinin ilk etapta riskli olabileceğini düşündük. Çünkü karaciğer sirozuna bağlı ve diğer hastalıklara bağlı olarak kan değerlerinde inanılmaz derecede bir bozukluk vardı ve cerrahi oldukça riskliydi. Biz öncelikle anjiyo yoluyla kasıktan girerek dalak anerizmasına ulaşıp, dalak anerizmasının içerisini kapatmayı ve dalak damarına bir stent koyarak oradaki anerizmanın patlamasını engellemeyi çalıştık. Anjiyomuz yaklaşık 1,5-2 saat sürdü. Anjiyo salonuna aldık hastamızı, anjiyo sırasında ne kadar uğraşsak ta dalak damarı o kadar genişlemişki kendi etrafındaki damarlar ile beraber döndüğü için dalak damarını bir türlü kateterize edemedik. Dalak damarının içerisine ulaşsak da ardına ulaşamadık. Yaptığımız tekrar değerlendirmesinde hastamızın ameliyat edilmesinin daha doğru olacağını düşündük. Hastamızı açık cerrahi vakasına aldık. Açık cerrahi vakasında genel cerrahi ile birlikte, önce karından ufak bir keski ile girdik. Girdiğimizde karşılaştığımız manzara aslında tomografide gördüğümüz manzaradan veya anjiyoda gördüğümüz manzaradan daha da kötü haldeydi. Dalak damarı anerizmasını onararak hastamızı ameliyattan çıkardık. Ameliyat sonrasında da hastamızın bir yoğun bakım ihtiyacı olmadı. Servise aldık. Bundan sonraki değerlerimize baktığımızda da ciddi bir kan ihtiyacı olmadı. Daha sonraki kontrol kanlarımızda gayet iyi olduğu gözüküyor" dedi.
Annesini tedavi etmek için birçok yere götürdüklerini ancak olumlu herhangi bir sonuç alamadıklarını dile getiren Kamil Ertur, “Hocalarımız çok iyi ameliyat geçirdiler. Allah’a çok şükür, ellerine sağlık, onlara teşekkür ediyorum. İyi ki Şırnak’ta böyle hocalarımız var. Diyarbakır, Mardin, Batman, Adana’ya götürdük. Buralarda ’eğer dalak sökülürse yataktan kalkmaz’ dediler. Allah’a çok şükür Volkan hoca ve Serhat hocamız böyle başarılı bir operasyon yaptılar" şeklinde konuştu.

DMM’den TOKİ başvurularına dair dolandırıcılık uyarısı

Tarsus Umut Kervanı’ndan Miraç Kandili’nde yetim ve ihtiyaç sahiplerine gıda yardımı

BM: israil'in Filistin'deki yardım kuruluşlarını yasaklaması hukukun ihlali

"Miraç hadisesinin gerçekleştiği yer İslam âleminin gönül yarası haline gelmiştir"

Cumhurbaşkanı Erdoğan’dan Miraç Kandili mesajı

Siirt’te Miraç Kandili dualarla idrak edildi

Avustralya'da 16 yaş altına sosyal medya yasağı yürürlükte

Batman'da Miraç Kandili coşkuyla idrak edildi: Namaz, dua ve manevi atmosfer camileri doldurdu

ABD'de sokaklar savaş alanına döndü: Minneapolis'te bir kişi daha vurularak öldürüldü

Siirt'te bir fırın Miraç Kandili vesilesiyle vatandaşlara çeşitli ikramlarda bulundu

Emekli maaşı düzenlemesi komisyonda kabul edildi

Siirt Umut Kervanı’ndan Miraç Kandili’nde ihtiyaç sahiplerine gıda yardımı

Suç örgütlerini övücü paylaşımlara 325 gözaltı

Gazze anlaşmasının ilk aşamasında 1244 ihlal, 449 şehit

Mersin Eğitim Bir-Sen İl Başkanı Yıldız : Ücrette dengesizlik, gelirde adaletsizlik bitsin

Rusya: Ukrayna’daki yabancı askeri birlikler Rus ordusu için meşru hedef

HÜDA PAR Milletvekili Dinç: Madde bağımlılarının sahneye çıkması yasaklanmalı

ABD güçleri Venezuela bağlantılı 6'ncı petrol tankerine el koydu

Adana halkından Miraç Kandili’nde birlik çağrısı: Gazze, Kudüs ve İslam coğrafyası için ortak ses olalım

İran Dışişleri Bakanı, Mısır ve Hindistan'daki mevkidaşlarıyla son gelişmeleri görüştü

Bitlis’te atıl okul, öğretmenin çabasıyla drama sınıfına dönüştü

Umut Kervanı Cizre’de Miraç Kandili vesilesiyle muhtaç ailelere yardım ulaştırdı

Kocaeli’de organize suçlara yönelik operasyonda 18 şüpheli gözaltına alındı

Memur-Sen Bursa'dan kamuda ücret adaletsizliğine tepki

Diyanet İşleri Başkanı Arpaguş'tan Malatya Büyükşehir Belediyesi’ne ziyaret

HÜDA PAR İktisat Başkanı Gültekin: 30 Euro'ya kadar vergisiz alışveriş yeniden başlamalı

HÜDA PAR Batman İl Başkanı Şahin: Trafik terörüne dur diyelim

Yetimler Vakfı Miraç Kandili'nde de Gazzelilere günlük sıcak yemek desteğini sürdürdü

Van’da kalbinde 4 santim kitle bulunan kadın sağlığına kavuştu

İşgal kuvvetleri, Suriye'nin güneyine baskın yaparak 3 sivili alıkoydu

Yükleniyor

Haberi Sesli Oku

ŞEHİR HABERLERİ


DMM’den TOKİ başvurularına dair dolandırıcılık uyarısı

Tarsus Umut Kervanı’ndan Miraç Kandili’nde yetim ve ihtiyaç sahiplerine gıda yardımı

BM: israil'in Filistin'deki yardım kuruluşlarını yasaklaması hukukun ihlali

"Miraç hadisesinin gerçekleştiği yer İslam âleminin gönül yarası haline gelmiştir"

Cumhurbaşkanı Erdoğan’dan Miraç Kandili mesajı

Siirt’te Miraç Kandili dualarla idrak edildi

Avustralya'da 16 yaş altına sosyal medya yasağı yürürlükte